Κοροναϊός: Ανατριχιαστική ακτινογραφία ασθενούς - Δείτε τι προκαλεί ο ιός στους πνεύμονες
Ο ασθενής περιέγραψε τα συμπτώματα που βίωσε με τρομακτικό τρόπο. Διαβάστε όλη την έρευνα🕛 χρόνος ανάγνωσης: 1 λεπτό ┋

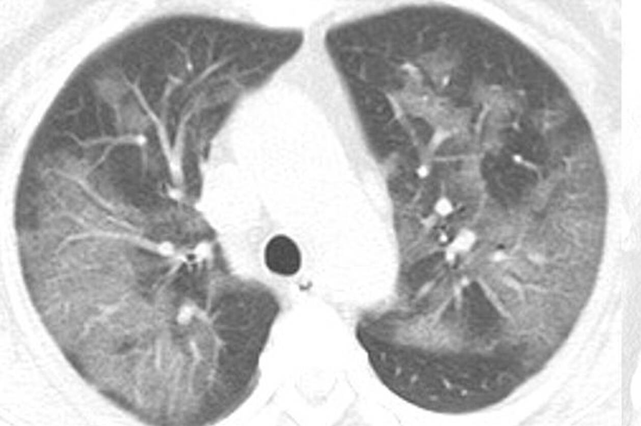
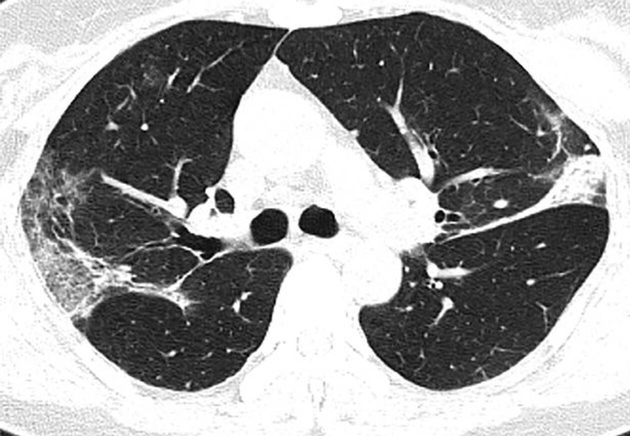
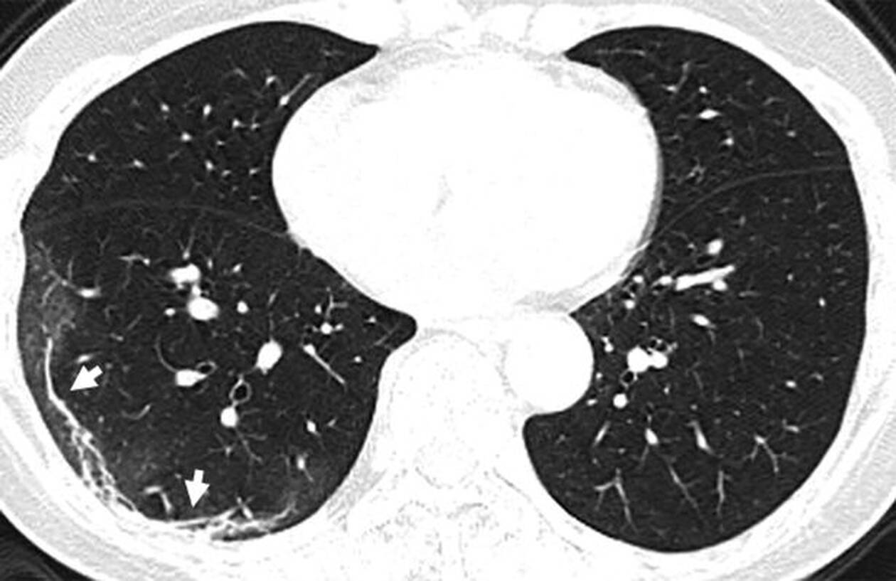
Η πανδημία του κοροναϊού covid-19 συνεχίζει να καλπάζει σε όλο τον πλανήτη, με τους γιατρούς να παρακολουθούν την έξαρσή του. Περισσότεροι από 4.000 άνθρωποι έχουν χάσει τις ζωές τους από τις επιπλοκές του ιού, ο οποίος προκαλεί σοβαρό πρόβλημα στους πνεύμονες των ασθενών. Στην δημοσιότητα δόθηκαν από την Ραδιολογική Κοινότητα της Βορείου Αμερικής ακτινογραφία πνευμόνων ασθενών, οι οποίοι είχαν προσβληθεί από τον κοροναϊό, οι οποίες προκαλούν ανατριχίλα.

Οι ασθενείς που έχουν νοσήσει μέχρι στιγμής έχουν περιγράψει την εμπειρία τους ως μια «τρομακτική προσπάθεια για να αναπνεύσουν». Στις ακτινογραφίες διακρίνονται κάποια άσπρα σημάδια, χαμηλά στους πνεύμονες. Περιγράφονται ως υγρό στις κυψέλες του πνεύμονα. Να σημειώσουμε πως οι ακτινογραφίες αυτές που δόθηκαν στην δημοσιότητα είναι από ασθενείς από την Κίνα που νόσησαν με επιπλοκές, οπότε δεν έχουν καμία σχέση με το αν νοσήσει κάποιος ο οποίος δεν αντιμετωπίζει προβλήματα υγείας.
Διαβάστε όλη την έρευνα εδώ



Σε τροχιά γενικευμένων κινητοποιήσεων οι αγρότες σε όλη τη χώρα - Εντείνεται η πίεση στο κυβερνητικό επιτελείο
Διπλό φονικό στη Φοινικούντα: Πώς ήρθε στο προσκήνιο ο ανιψιός για ηθική αυτουργία - Στη Βούλα οι συλλήψεις
Σε επτά κλινικές στην Ελλάδα το σπέρμα του δότη με το «γονίδιο του καρκίνου» - Τι είχε εντοπίσει γιατρός το 2020
Δικαστικός κλητήρας επέδωσε αγωγή για χρέη σε αγρότη στο μπλόκο των Πράσινων Φαναριών
Live όλες οι εξελίξεις λεπτό προς λεπτό, με την υπογραφή του www.ethnos.gr
δημοφιλές τώρα: 



