Έμφυλη βία: Οι ακτινογραφίες που «μιλούν» για τις κακοποιημένες γυναίκες (pics)
Εγκαύματα, μελανιές, σπασμένα οστά, μαχαίρι στην πλάτη: μια έκθεση σε μιλανέζικο νοσοκομείο που σοκάρει🕛 χρόνος ανάγνωσης: 2 λεπτά ┋

Ραγισμένα κόκαλα, μαυρισμένα μάτια, σπασμένα χέρια και πόδια, ουλές από μαχαιριές. Όταν οι γυναίκες δεν τολμούν ή δεν αντέχουν να μιλήσουν για την ενδοοικογενειακή βία που υφίστανται, το κάνουν τα αρχεία των νοσοκομείων στα «Επείγοντα».
Με αφορμή την Παγκόσμια Ημέρα για την Εξάλειψη της Βίας κατά των Γυναικών στις 25 Νοεμβρίου, η ιταλική «La Repubblica» φιλοξενεί τη μαρτυρία της γιατρού Μαρία Γκράτσια Βανταντόρι, η οποία είναι χειρουργός επί 26 χρόνια στο μιλανέζικο νοσοκομείο Σαν Κάρλο και με πρωτοβουλία της οποίας πραγματοποιείται μια έκθεση ακτινογραφιών κακοποιημένων γυναικών, στις οποίες καταγράφεται με τον πιο ωμό αλλά και αντιπροσωπευτικό τρόπο ένας «αόρατος πόλεμος».
Σύμφωνα με την Βανταντόρι, στις ακτινογραφίες αντικατοπτρίζεται η καθημερινή φρίκη που αντιμετωπίζει με τους συναδέλφους της στα «Επείγοντα». «Συχνά οι τραυματισμένες γυναίκες δεν έχουν τη δύναμη να πουν τι τους έχει συμβεί, αλλά τα σώματά τους και τα τραύματά τους μιλούν από μόνα τους», σημειώνει.

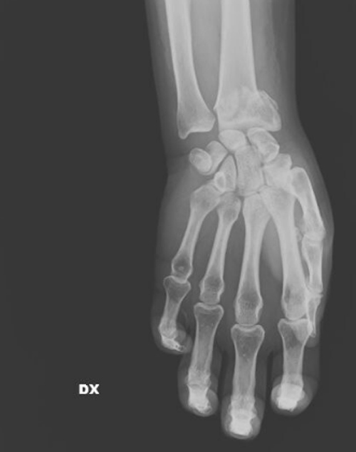
Σπασμένος καρπός/repubblica.it
Όπως σημειώνει η χειρουργός, καθημερινά καλούνται να αντιμετωπίσουν «σπασμένα οστά σε μύτη, χέρια, πόδια, πληγές από μαχαιριές, εγκαύματα, μελανιές και άλλα σημάδια στραγγαλισμού», ενώ σημειώνει πως έχει δεχθεί ασθενή ακόμη και με μαχαίρι στην πλάτη, που όμως το περιστατικό δηλώθηκε ως «ατύχημα» στο νοσοκομείο.
Η δημοσιογράφος που ανέδειξε το θέμα, Μαρία Νοβέλα ντε Λούκα, χαρακτηρίζει την έκθεση ως «ακραία και τραγική». Ωστόσο, αυτή η τραγικότητα αποτελεί καθημερινότητα για πολλές γυναίκες που υπόκεινται σε βασανιστήρια «από συζύγους, πρώην συζύγους, συντρόφους».
«Όλα αυτά τα χρόνια έχω δει χιλιάδες ακτινογραφίες γυναικών με κάθε είδους τραύματα, ακόμη και πολύ σοβαρά. Πολλές από αυτές τις κακοποιημένες γυναίκες αρνήθηκαν ότι τα τραύματά τους προκλήθηκαν από τους συζύγους ή άλλα μέλη της οικογένειάς τους. Η άρνησή τους σχετίζεται με συναισθήματα όπως φόβος, ντροπή, αγωνία για την τύχη των παιδιών τους ή και για τη ζωή τους ακόμη», σημειώνει η γιατρός.

Σπασμένη κνήμη/repubblica.it
Η συγκεκριμένη έκθεση έχει την υποστήριξη οργανώσεων και σωματείων υπέρ των κακοποιημένων γυναικών. Η Βανταντόρι κλείνει τη συνέντευξή της λέγοντας πως η κακοποίηση αφορά τόσο τη γυναίκα με την κατά τ' άλλα «καλοβαλμένη» ζωή όσο και μια πάμφτωχη μετανάστρια. Η ίδια, όπως σημειώνει, έχει αντιμετωπίσει και τα δύο.
Η ώρα της κρίσης για άρση ασυλιών των 13 βουλευτών της ΝΔ - Γιατί πήραν… φωτιά τα τηλέφωνα
Τα μέτρα για να πάρουν τα πάνω τους οι δημοσκοπήσεις, τα τηλεφωνήματα στους γαλάζιους βουλευτές και η υπόγεια αντιπαράθεση Χαριλάου Τρικούπη και Αμαλίας
Αττική 2045: Άλλος... μισός ΟΑΣΑ για να μη φρακάρει μόνιμα στην κίνηση η πρωτεύουσα - Τι μέτρα λαμβάνονται
Παράταση της εκεχειρίας μεταξύ Ιράν - ΗΠΑ ανακοίνωσε ο Τραμπ: Αβέβαιο το μέλλον των συζητήσεων για συμφωνία
Live όλες οι εξελίξεις λεπτό προς λεπτό, με την υπογραφή του www.ethnos.gr




